به گزاش همشهری آنلاین، رنگ دندان، بازتابی از سلامت بدن است. تغییرات رنگی، هشداری برای مشکلات دهانی یا نشانهای از بیماریهای جدیتر در بدن محسوب میشوند. الن ژانگ تکنولوژیست دندان، با تأکید میکند که دندانها علائم اولیهی بیماریها را آشکار میکنند و تشخیص زودهنگام تغییر رنگ با ابزارهایی مانند دوربینهای داخل دهانی، به پیشگیری از مشکلات جدیتر کمک میکند.به گفتهی او، تشخیص زودهنگام تغییر رنگ دندان، راهی ساده و مؤثر برای حفظ سلامت طولانیمدت است. مراقبت از رنگ دندان و مراجعه منظم به دندانپزشک، گامی مهم در حفظ سلامت کلی بدن به شمار میرود.
رنگ دندان و بیماریهای پنهان
در ادامه به مهمترین تغییر رنگهای دندان و معنای هرکدام از نظر علمی میپردازیم.
لکههای زرد روی دندان
نمناک نوشت: زردی دندان، پدیدهای رایج است که اغلب با مصرف مکرر نوشیدنیهای رنگدانهدار مانند چای و قهوه، یا استعمال دخانیات مرتبط دانسته میشود.این تغییر رنگ میتواند نشانه و عارضهای از مشکلات جدیتر سلامتی، از جمله اختلال در عملکرد کبد باشد. در صورتی که کبد نتواند وظایف خود را به درستی انجام دهد، مادهای به نام بیلیروبین در بدن تجمع یافته و افزایش سطح آن میتواند منجر به تغییر رنگ دندانها شود.

دندان خاکستری
تغییر رنگ دندان به طیف خاکستری یا کدر، میتواند نشانهای از مرگ دندان باشد که علاوه بر آسیبهای فیزیکی، ممکن است با بیماریهای زمینهای مانند سلیاک نیز مرتبط باشد. بیماری سلیاک، با اختلال در جذب مواد مغذی، میتواند مانع از شکلگیری صحیح مینای دندان شده و در نتیجه، تغییر رنگ دائمی در دندانها ایجاد کند. خوشبختانه، دندانپزشکان با بهرهگیری از روشهای ترمیم زیبایی مانند ونیر و باندینگ، قادر به پوشاندن این نقصها و بهبود ظاهر دندانها هستند.
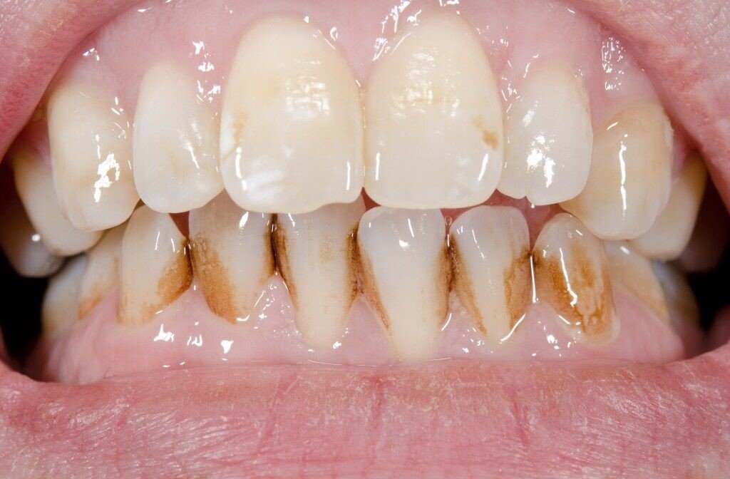
لکهها و رگههای قهوهای
ظهور لکههای قهوهای روی سطح دندان میتواند نشانهای هشداردهنده از آغاز فرآیند پوسیدگی باشد که میتواند ناشی از وضعیتی به نام “فلوئوروزیس” (fluorosis) باشند. این حالت زمانی رخ میدهد که در دوران شکلگیری و رشد دندانها (معمولاً در کودکی)، فرد بیش از حد مجاز در معرض فلوراید قرار گیرد. تشخیص دقیق علت این تغییر رنگها برای انتخاب بهترین روش درمانی و پیشگیری، اهمیت ویژهای دارد.
آبی یا خاکستری شدن دندان در کودکی
مصرف برخی از داروهای آنتیبیوتیک، به ویژه تتراسایکلینها، در دوران کودکی و در زمان تشکیل و رشد دندانها، میتواند منجر به تغییر رنگ دائمی در بافت دندان شود. این داروها قابلیت نفوذ به ساختار در حال تکوین مینا و عاج دندان را دارند و با تهنشین شدن در آنها، باعث ایجاد لکهها یا خطوطی با رنگهای خاکستری، آبی، قهوهای یا زرد میشوند که به طور معمول برگشتناپذیر هستند.

لکههای سفید گچی روی دندان
شاید بسیاری بر این باور باشند که سفیدترین دندانها، سالمترین دندانها هستند. اما حضور لکههای سفید گچی رنگ روی سطح دندان میتواند نشانهای هشداردهنده از آغاز فرآیند پوسیدگی دندان یا حتی وجود نقص در تشکیل مینای دندان داشته باشند.
یکی از دلایل کمتر شناختهشده برای این نقایص مینایی، ارتباط آن با بیماری سلیاک یک اختلال خودایمنی جدی است که در آن سیستم ایمنی بدن به گلوتن (پروتئین موجود در گندم، جو و چاودار) واکنش نشان میدهد.
دندان سیاه
تغییر رنگ دندان به سیاهی شدید، اغلب نشاندهنده یک مشکل جدی در سلامت دندان است. این وضعیت میتواند به پوسیدگی پیشرفته دندان یا نکروز (مرگ) پالپ دندان اشاره داشته باشد. نکروز پالپ، به معنای از بین رفتن بافت نرم داخلی دندان است که حاوی عروق خونی و اعصاب میباشد و در صورت عدم درمان، میتواند منجر به عفونتهای جدی و گسترده شود.در موارد نادرتر، سیاهی دندان ممکن است ناشی از تماس بیش از حد با فلزات سنگین باشد.
مینای لکهدار
مات شدن مینای دندان یا بروز دندانهای خالدار (که در اصطلاح تخصصی به آن mottled enamel گفته میشود)، میتواند نشانهای از وجود اختلالات ژنتیکی باشد. یکی از این اختلالات، آملوژنزیس ایمپرفکتا (amelogenesis imperfecta) نام دارد. آملوژنزیس ایمپرفکتا گروهی از اختلالات ژنتیکی هستند که بر ساختار و تشکیل مینای دندان تأثیر میگذارند.
این اختلال میتواند منجر به تغییر رنگ مینا (از جمله ایجاد لکههای سفید، زرد، قهوهای یا خاکستری)، نازک شدن مینا، یا افزایش فرسایش آن شود.

ارسال نظر شما
مجموع نظرات : 0 در انتظار بررسی : 0 انتشار یافته : 0